Врачи Мариинской больницы в Санкт-Петербурге выписывают домой человека после уникальной имплантации сразу двух искуссвтенных желудочков сердца, из-за чего мужчина живет без пульса. В США на заснеженной трассе произошло массовое ДТП с участием более 100 машин, а премьер-министр Чехии Андрей Бабиш заявил что купил глобус, чтобы найти Гренландию.
Без пульса, зато жив
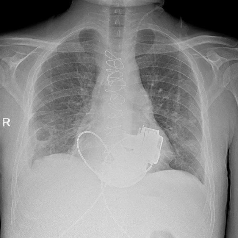
В Мариинской больнице готовится к выписке уникальный пациент, который с недавних пор живет без пульса. Как сообщает учреждение в своем телеграм-канале, в конце ноября 2025 пациенту впервые в России имплантировали сразу два искусственных желудочка сердца. Когда мужчина поступил в больницу, показатели работы его сердца были такими, "будто человек уже не жив, а мертв". При этом из-за ряда осложнений трансплантация целого сердца была невозможной. Главный врач больницы Игорь Реутский принял решение об имплантации искусственных желудочков. Операция продолжалась около 4 часов.

Рентген пациента с искусственными желудочками сердца. Фото: Телеграм-канал Маринской больницы
Мощная магнитная буря
Мощный поток солнечных протонов обрушился на околоземное пространство: уровень, опасный для спутников и космической техники, превышен в десятки раз. Это предвестник главного удара — огромного облака плазмы, которое обрушится на Землю в середине дня во вторник и вызовет мощную магнитную бурю, предупреждают специалисты Лаборатории солнечной астрономии ИКИ РАН. Плотность высокоэнергетических частиц, по данным астрофизиков, за последние сутки подскочила более чем в тысячу раз. Уровень радиации, при котором возникает реальная угроза для электроники космических аппаратов ("красный уровень"), превышен сейчас в 50 раз.
Русский снег обездвижил американцев
Массовое ДТП с участием около 100 авто произошло на трассе в американском штате Мичиган из-за снегопада. Как сообщает местная полиция, есть даже пострадавшие. Среди застрявших в ДТП есть несколько десятков большегрузов. Ранения в ходе столкновений получили 12 человек, сообщил телеканал FOX Weather со ссылкой на офис шерифа округа Оттава.
Российским спортсменам разрешили бейсбол
Всемирная конфедерация бейсбола и софтбола приняла решение о допуске юниорских сборных России к международным турнирам под флагом и с гимном страны. Отправной точкой для этого решения послужили рекомендации исполкома Международного олимпийского комитета, который в декабре рекомендовал допускать российских и белорусских спортсменов до турниров в юношеских дисциплинах с флагом и гимном как в личных, так и в командных видах спорта.
Поможем Бабишу найти Гренландию
Премьер-министр Чехии Андрей Бабиш заявил, что приобрел большой глобус,который поможет ему правильно определить место расположения Гренландии. "Я купил для этого глобус, <...> такой красивый и большой, чтобы точно видеть, где находится Гренландия", — цитирует Бабиша издание Novinky. Он добавил, что Прага не намерена делать заявления о поддержке Гренландии и ее жителей на фоне притязаний президента США Дональда Трампа.
Трамп пригласил Путина в свою "ООН"
Президент США Дональд Трамп объявил о создании "Совета мира" и разослал мировым лидерам предложения о членстве. Целевое назначение этого органа — контроль за соблюдением мира в секторе Газа. Однако он может выступать в альтернативой ООН, которую в последнее время многие критикуют за неспособность решить современнее конфликты. Как заявил журналистам пресс-секретарь президента России Владимира Путина Дмитрий Песков, лидер РФ также получил приглашение вступить в "Совет мира". 17 января премьер-министр Израиля Биньямин Нетаньяху заявил, что состав Совета мира не был согласован с Израилем и противоречит его политике.